Prótesis intercalar como opción de tratamiento de metástasis única en tibia tercio medio distal para evitar amputación
RESUMEN.
Presentamos el tratamiento de metástasis de tercio medio de la tibia mediante la implantación de megaprótesis intercalar. Esta técnica permite la reconstrucción del defecto creado tras la resección en bloque de la metástasis. Y al no implicar a la articulación proximal (fémoro-tibial) o distal (tibio-astragalina) permite una rápida recuperación funcional. Se presenta el caso de una paciente de 63 años que debutó con una metástasis única de tibia distal y fue tratada mediante éste método con unos resultados buenos en movilidad, recuperación funcional y dolor.
Puertas García-Sandoval, J.P. (1)
Valcárcel Díaz A. (1)
Clavel Claver N. (2)
Parra Sáez G. (3)
Zapata Sánchez M. (3)
Jiménez Moreno A. (3)
- FEA Unidad de Tumores Musculoesqueléticos COT. Hospital Clínico Universitario Virgen Arrixaca. Murcia
- FEA Servicio de Anestesia y Reanimación. Hospital Clínico Universitario Virgen Arrixaca. Murcia
- DUE. Quirófano Hospital Clínico Universitario Virgen Arrixaca. Murcia
PALABRAS CLAVE: Metástasis óseas. Megaprótesis intercalar
INTRODUCCIÓN.
El tratamiento de las metástasis óseas únicas, si existe un control del tumor primario, puede ser la cirugía de resección. Existen casos en los cuales por su localización esto es difícil o bien requiere sacrificar o profetizar articulaciones con un resultado poco aceptable. En el caso de la tibia a nivel del tercio medial, distal las opciones de reconstrucción serían la implantación de una megaprótesis de tobillo, un aloinjerto o bien una megaprótesis intercalar, siendo esta última la más adecuada, si es posible por no implicar la articulación del tobillo y que permite una movilización rápida del paciente.
MATERIAL Y MÉTODOS
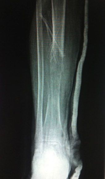
Mujer de 63 años que inicia un dolor en cara anterior del tercio medio de la tibia, sin traumatismo previo, el dolor tras dos meses no mejora con medicación analgésica convencional. Tras una deambulación prolongada presenta dolor más intensa e impotencia funcional. Acude a urgencias donde en el estudio radiográfico (foto 1) se aprecia una fractura sobre lesión lítica. Dada la edad de la paciente se realiza una biopsia ósea por sospecha de lesión metastásica y se diagnóstica de tumor primario ginecológico con metástasis única en tibia a nivel del tercio medio.
Se planteó el tratamiento realizando primero una resección en bloque de la zona metastásica (foto 2) y sustituyendo el defecto creado por una megaprótesis intercalar cementada, (foto 3). Se realizó anestesia combinada general (mascarilla laríngea) y bloqueo de la pierna (catéter femoral para analgesia perioperatoria, con bupivacaína 0.125% a 7ml/h y bloque ciático, mediante punción única con bupivacaína 0.5% 20 ml con control ecográfico. Y posteriormente tratada del tumor ginecológico.
RESULTADOS Y CONCLUSIONES
La paciente fue incorporada a las 48 horas con carga parcial, el control analgésico es fundamental para la incorporación del paciente y asegurar una analgésica muy práctica las primeras 48 horas. Fue alta hospitalaria a las 72 horas, deambulando con tutores externos la primera semana. A las dos semanas solo precisaba un tutor externo y a las cinco semanas presentaba una deambulación autónoma y asintomática. La medición de resultado se realizó con la escala MSTS obteniendo una puntuación a los tres meses de 21 puntos (sobre 30) lo cual es un resultado muy bueno.
La opción terapéutica de una megaprótesis intercalar debe formar parte del arsenal terapéutico tanto en tumores óseos primarios como metastásicos que afectan a las zonas diafisarias de huesos largos. Tienen la ventaja de no implicar a a las articulaciones y por tanto la recuperación es más rápida.
Foto 1. Radiografías anteroposterior y lateral de la tibia, donde se aprecia una fractura patológica del tercio medio/distal de la tibia. Sobre una lesión lítica.

Foto 2. Imagen intraoperatorio donde se aprecia la resección en bloque de la tumoración ósea metastásica.

Foto 3. Control radiográfico de la implantación de la megaprótesis intercalar (Link).

Bibliografía
- Enneking WF, Dunham W, Gebhardt MC, Malawar Mk, Pritchard DJ (1993) A system for the functional evaluación of reconstructive procedures after surgical treatment of tumors of the musculoskeletal system. Clin Orthop Relat Res 286:241-246
- Niimi R, Matsumine A, Kusuzaki K, et al. Usefulness of lima salvage surgiera for bone and soft tissue sarcomas of the distal lower leg. J Cancer Res Clin Oncol. 2008;134:1087-1095