Tumor de células gigantes intraarticular de rodilla diagnosticado tras gonalgia postraumática. A propósito de un caso
El tumor de células gigantes focal o sinovitis villonodular pigmentada focal es un tumor benigno, originado frecuentemente a partir de tejido sinovial, vainas tendinosas o bursas.
Esta tumoración se localiza predominantemente en la mano.
Generalmente no asienta en las articulaciones de carga, y muy raramente es una tumoración intraarticular, habiendo muy pocos casos documentados al respecto. En ellos la RNM es la prueba complementaria de elección para su diagnóstico.
Tumor de células gigantes intraarticular de rodilla diagnosticado tras gonalgia postraumática. A propósito de un caso
Autores: Lorena Fontao Fernández *, María José Ferreirós Conde **, Mario López Antón ***, Raúl Cano Gea ****, Miguel Ángel Ochoa-Hortal Rull ****, Juan Eduardo Gil Gómez *.
* Facultativo Especialista de Área del Servicio de Cirugía Ortopédica y Traumatología del Hospital Universitario Santa Lucía de Cartagena (Murcia, España).
** Facultativo Especialista de Área del Servicio de Cirugía Ortopédica y Traumatología del Hospital Álvaro Cunqueiro (Complejo Hospitalario Universitario de Vigo) (Pontevedra, España).
*** Facultativo Especialista de Área del Servicio de Cirugía Ortopédica y Traumatología del Hospital General Universitario Los Arcos del Mar Menor (Murcia, España).
**** Facultativo Especialista de Área del Servicio de Cirugía Ortopédica y Traumatología del Hospital General Universitario Rafael Méndez de Lorca (Murcia, España).
RESUMEN
La exéresis completa es esencial debido al riesgo de recidivas que presenta esta lesión.
Presentamos un caso de tumor de células gigantes intraarticular de rodilla diagnosticado de forma casual durante el estudio de un paciente con gonalgia postraumática, tratado mediante artroscopia diagnóstica de rodilla y exéresis abierta a través de abordaje posterior.
PALABRAS CLAVE: tumor células gigantes, gonalgia postraumática, artroscopia rodilla.
CASO CLÍNICO
Varón de 20 años de edad que acude al servicio de Urgencias por dolor e impotencia funcional en rodilla izquierda, tras sufrir traumatismo indirecto jugando a fútbol, tratado mediante inmovilización, pauta antiinflamatoria y reposo de extremidad.
Durante el seguimiento del paciente en consultas externas de Traumatología y debido a la persistencia del dolor referido principalmente a nivel de hueco poplíteo con el paso de los días, se solicita una RNM de rodilla para completar estudio lesional.
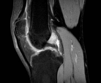
La RNM de rodilla izquierda informa de lesión de 2´6 cm de diámetro en cisura intercondílea entre ambos ligamentos cruzados, con sospecha de sinovitis villonodular pigmentada focal (ver imagen 1).
Se realiza tratamiento quirúrgico inicialmente mediante artroscopia diagnóstica, identificando lesión tumoral a través de portales artroscópicos habituales asociados a los portales postero-externo y postero-interno (ver imagen 2). Posteriormente se realiza un abordaje con capsulotomía posterior de rodilla izquierda, para llevar a cabo la exéresis de la tumoración (ver imagen 3).
Se remite la pieza quirúrgica para estudio anatomopatológico (ver imagen 4), siendo informada la muestra como “tumoración de células gigantes”.
La evolución posquirúrgica es satisfactoria, produciéndose importante mejoría de sintomatología y siendo dado de alta de consultas externas al mes y medio de la intervención debido a mejoría completa.
En el momento actual el paciente continúa asintomático. Está pendiente de revisión anual para control evolutivo y vigilancia de posibles recidivas de la lesión.
Imagen 1: RNM de rodilla izquierda donde la flecha señala tumoración en cortes coronal y sagital.


Imagen 2: Tumoración (flecha) visualizada a través de portales artroscópicos posteriores de rodilla.

Imagen 3: Exéresis de tumor de células gigantes focal mediante abordaje y capsulotomía posterior de rodilla izquierda.

Imagen 4: Tumor de células gigantes (pieza quirúrgica).

BIBLIOGRAFÍA
1.- Greenspan A, Remagen W. Tumores de huesos y articulaciones. Madrid: Marbán libros SL; 2002.
2.- Aksoy B, Ertürer E, Toker S, Seçkin F, Şener B. Tenosynovial giant cell tumour of the posterior cruciate ligament and its arthroscopic treatment. Singapore Med J 2009; 50(6)
3.- Kuhnen C, Müller KM, Rabstein S, Kasprzynski A, Herter P. [Tenosynovial giant cell tumor]. Pathologe 2005; 26:96-110.
4.- Otsuka Y, Mizuta H, Nakamura E, et al. Tenosynovial giant-cell tumor arising from the anterior cruciate ligament of the knee. Arthroscopy 1996; 12:496-9
5.- Sheppard DG, Kim EE, Yasko AW, Ayala A. Giant-cell tumor of the tendon sheath arising from the posterior cruciate ligament of the knee: a case report and review of the literature. Clin Imaging 1998; 22:428-30.
6.- Camilieri G, Di Sanzo V, Ferretti M, Calderaro C, Calvisi V. Intra-articular tenosynovial giant cell tumor arising from the posterior cruciate ligament. Orthopedics 2012 Jul 1;35(7)