La importancia de la colocación, a propósito de un caso
Caso Clínico:
Paciente de 32 años que aporta informe por caída con contusión en codo, a RX no LOA (lesión Ósea Aguda) Orientación Diagnóstica: Esguince codo. Se coloca tenso y control a los 7 días.
La importancia de la colocación, a propósito de un caso
Aroha Gutiérrez Rubio
Lluïsa López Rodríguez
SDPI Sant Feliu de Llobregat (CAP la Rambla)
A los 7 días se retira compresivo y sigue con pronación dolorosa y se observa mínimo derrame articular.
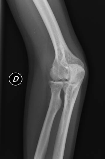
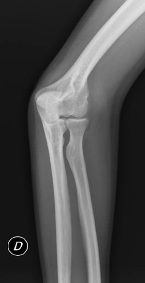
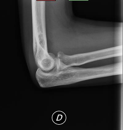
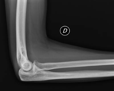
En RX simple no se aprecian claras líneas de fractura (figura 1 y figura 2), y ante la duda se decide realizar proyecciones adicionales para intentar despejar cabeza de radio. Se realizan dos proyecciones adicionales: oblicua de codo (oblicuando todo el cuerpo del paciente, para no movilizar el codo por dolor), y perfil de codo angulado el tubo caudalmente entre 10-15 grados. En ambas proyecciones se visualiza una clara fractura del mismo (figura 3 y figura 4).
Diagnóstico
Fractura de la cabeza del radio con afectación articular y sin luxación.
Consejo
A veces las proyecciones protocolarizadas no son suficientes para un diagnóstico claro, en este caso queda demostrado y ante las pistas que nos da el paciente, que se tienen que realizar proyecciones adicionales, para que el médico pueda hacer un diagnóstico eficaz.
(figura 1)

(figura 2)

(figura 3)

(figura 4)
