estrómica de la neoplasia como el grado, el recuento mitótico y la presencia de elementos heterólogos no demostraron ninguna relación con las metástasis posteriores. Los factores asociados con metástasis fueron el elemento epitelial de alto grado, la presencia de células claras, la invasión miometrial profunda, la invasión linfática o del espacio perivascular y el compromiso cervical los indicadores de recidiva (28).
Otros factores pronóstico están siendo estudiados en el campo de la biología molecular como el P53, HER-2/neu y el Ki-67. En este estudio de 20 pacientes encuentran sólo estadísticamente significativo la sobreexpresión del antígeno Ki-67 y el descenso de la supervivencia en las pacientes con SMMM ([28]).
En resumen, estamos ante una de las neoplasias uterinas de peor pronóstico en las que el diagnóstico se suele realizar en estadios avanzados, en las que no existen pautas de tratamiento consensuadas y en las que el tratamiento adyuvante no tiene papel relevante. La supervivencia desde el momento del diagnóstico suele ser corta. A este mal pronóstico se le añade que es un tipo de tumor muy recidivante, con lo cual, ante un diagnóstico y tratamiento precoz debemos realizar un seguimiento exhaustivo en la búsqueda de las recidivas. Probablemente aquí sea donde los futuros estudios deban hacer hincapié y encontrar algún tipo de marcador tumoral específico que pueda predecir dicha tendencia, y que nos permita actuar lo más precozmente posible. A esto se le debe añadir la necesidad de encontrar nuevos fármacos que tengan acción sobre este tipo de tumores.
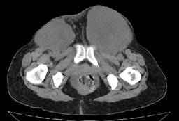
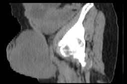
Figura 1: Tomografía computarizada simple de pelvis, cortes a 3 mm con reconstrucción MPR sagital


