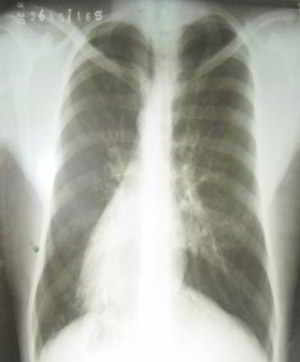
Ecocardiograma: Dextrocardia mas situs inversus, corazón y grandes vasos de estructura y función normal.
Ultrasonido Abdominal: Hígado en Hipocondrio Izquierdo, bazo y cámara gástrica situado en hipocondrio derecho.
COMENTARIOS:
Les presentamos esta caso, pues no hemos encontrado evidencia pues no hemos encontrado evidencia en la bibliografía actual que reporte caso de Artritis Reumatoidea concomitando con Situs inversus, lo cual a nosotros nos impresiona como caso no común, por esta razón lo comunicamos y compartimos con nuestra comunidad médica. Este paciente se impuso tratamiento con Metotrexate, Prednisona (10) y Acido Fólico, con una evolución muy favorable y seguimiento en nuestra consulta de Reumatología.
Anexos:
Figura 1

Figura 2

Bibliografía
1. Lapierre C, Déry J, Guérin R, Viremouneix L, Dubois J, Garel L. Segmental approach to imaging of congenital heart disease. Radiographics. 2010 Mar; 30(2):397-411.
2. Ghosh S, Yarmish G, Godelman A, Haramati LB, Spindola-Franco H. Anomalies of visceroatrial situs. AJR Am J Roentgenol. 2009 Oct; 193(4):1107-17.
3. American Journal of Physiology – Heart and Circulatory Pathology (May 15, 2012), Vol. 302:10, pp. H2102-H2111).
4. Ul Hassan A, Hassan G, Khan SH, et al; Ciliopathy with special emphasis on Kartagener syndrome. Int J Health Sci (Qassim). 2009 Jan; 3(1):65-9.
5. Chuhwak EK; Kartagener syndrome in a Nigerian African–a case report and literature review. Niger J Med. 2009 Oct-Dec; 18(4):424-7
6. Florencia M. Ventrículo Único: Cirugía de Glenn y Fontan. Rev Latinoamer T ecnol Extracorp. 2007; 14(2):7-25.
7. Gil-Jaurena JM, Zabala J-I, Albert DC, Castillo R, González M, Miró L. Switch arterial paliativo comoprimer tiempo hacia Fontan en pacientes con fisiología univentricular y estenosis subaórtica. Rev Española Cardiol. 2013; 66(7):553-5.
8. Zahka KG. Cardiovascular problems of the neonate. In: Martin RJ, Fanaroff AA, and Walsh MC, Eds. Fanaroff and Martin’s Neonatal -Perinatal Medicine .9th ed .Philadelphia, Pa: Mosby Elsevier; 2010:part 8.
9. Bohun CM, Potts JE, Casey BM, Sandor GGS. A population-based study of cardiac malformations and outcomes associated with dextrocardia. Am J Cardiol. 2007; 100: 305-9.
10. Gupta S, Handa KK, Kasliwal RR, et al; A case of Kartagener’s syndrome: Importance of early diagnosis and treatment. Indian J Hum Genet. 2012 May; 18(2):263-7. Doi: 10.4103/0971-6866.100787.