Macro: En el polo renal inferior se observa lesión tumoral, irregularmente redondeada que mide 22 x 16 x 13 cm., de superficie externa lisa, pardo-amarillenta, con múltiples trayectos vasculares

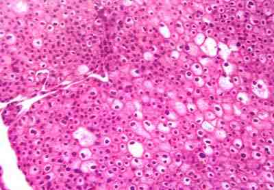
Micro: Se observa células acidofílicas pálidas, con reforzamiento de la membrana citoplasmática, en su mayoría, con citoplasma de aspecto espumoso, núcleos centrales o ligeramente excéntricos, hipercromáticos y halo claro perinuclear.

Anatomía patológica concluye:
NEOPLASIA EPITELIAL MALIGNA: CARCINOMA RENAL CROMÓFOBO. Actualmente la paciente se encuentra en buenas condiciones, con controles periódicos.
DISCUSIÓN
La edad con mayor incidencia de esta patología es alrededor de los 65 años y los hombres se afectan aproximadamente dos veces más frecuentes que las mujeres, situación que no coincide con nuestro caso, siendo nuestra paciente una femenino de 29 años. El pronóstico se relaciona más con el estadio clínico que con la histopatología, en nuestro caso es un tumor restringido al riñón, por lo que la paciente no amerito tratamiento coadyuvante, y actualmente se encuentra en buenas condiciones.
CONCLUSIONES
El carcinoma de células renales es una neoplasia poco frecuente, representando menos del 3% de todas las neoplasias malignas; siendo el cromófobo uno de los subtipos más inusuales, reportándose solo de 4% a 6 % de todos los casos diagnosticados a nivel mundial de los tumores de células renales. La sobrevida libre de enfermedad, en diagnósticos tempranos es superior al 83% a los 5 años. El grado de metástasis del cáncer de células renales cromófobo en comparación con otros subtipos es menor del 50%.
REFERENCIAS BIBLIOGRÁFICAS
Alvarado-Cabrero I, Atencio-Chan A, Gayborg J, Rodríguez C. Factores pronósticos asociados a la sobrevida de pacientes con carcinoma de células renales.
Thoenes W, Storkel S, Rumpelt HJ. Human chromophobe renal cell carcinoma. Virchows Arch 1985;48:207-217.
%. Bannasch y col. Low chromosome number in chromophobe renal cell carcinomas. Genes Chromosomes
Cancer 1992;4:267-268.
Pérez T., López C. Principios de patologia. 4ta edición. Mexico 2007. Pag 333-334- 335.
Presti JC Jr, Rao PH, Chen Q, et al. Histopathological, cytogenetic, and molecular characterization of renal cortical tumors. Cancer Res 1991;51;1544-1552.
Fuhrman S, Lasky J, Limas C. Prognostic’s significance of morphologic renal parameters in cell carcinoma. Am J
Surg Pathol 1982;6:655-663.
Robson CJ. Radical nephrectomy for renal cell carcinoma. J Urol 1963;89:3742.
Medeiros LJ, Weiss LM. Renal adenocarcinoma. In: Eble JN, Ed. Tumors and tumor-like conditions of the kidneys and ureters. Churchill Livingstone. New York, 1990.
Crotty TB, Farrow GM, Lieber MM. Chromophobe renal cell carcinoma: Clinicopathological features of 50 cases. J
Urol 1995;154:964-967.
Akhtar M, Tulbah A, Kardar A, et al. Sarcomatoid renal ceIl carcinoma: The chromophobe connection. Am J Surg
Pathol 1997;21:1188-1195.
Thoene W, Storkel S, Rumpelt HJ, et al. Chromophobe cell renal carcinoma and its variants. A report on 32 cases. J Pathol 1988;155:277-287.
Bonsib SM. Renal chromophobe cell carcinoma: The relationshipbetween cytoplasmic vesicles and colloidal iron
stain. J Urol Pathol 2000;18:560-564.