Anecdóticamente se describe el tratamiento con radioterapia ante masas difícilmente abordables y muy sintomáticos 6 con buenos resultados 19.
No se conocen transformaciones malignas y las recidivas son escasas 1.
Son lesiones muy vascularizadas por lo que una de las complicaciones postquirúrgicas suele ser el sangrado. Por ello se recomienda la colocación de drenajes aspirativos y la cuidadosa hemostasia del lecho quirúrgico 1.
Otras complicaciones tras el tratamiento quirúrgico son: seroma, hematoma, infecciones 20.
CONCLUSIONES
Debemos tener en cuenta esta entidad ante masas localizadas en región subescapular, y tener en cuenta que sólo deben ser tratadas quirúrgicamente si presentan clínica que no cede con tratamiento conservador o crecimiento de la masa.
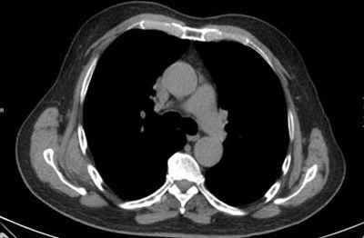
Figura 1: Imagen de TC dónde se aprecia masa 65 x 20 mm, en región subescapular.

BIBLIOGRAFÍA
1. Cerrolaza, N; Alcalá- Santaella, R; Ausina, S; Bataller, J.L. Elastofibroma dorsi y tumoraciones infraescapulares. Rev Ortop Traumatol 2005; 49: 249-54.
2. Di Vito, E; Scali, G; Ferraro, C; Mignogna, I; Presta, C; Camastra, C; Palmieri, G; Donato, T. Elastofibroma dorsi: a histochemical and immunohistochemical study. A European Journal of Histochemistry 2015; 59: 2459.
3. Yamamoto, T; Akisue, T; Kurosaka, M; Mizuno, K; Mukai, H. Elastofibroma in shoulder osteoarthritis: a theoretical concept of the etiology. Clin Orthop 2001; 387: 127-31.
4. Karakurta, O; Kaplanb, T; Gunalc, N; Gulbahard, G; Kocera, B; Hanb, S; Duralc, K; Sakincia, U. Elastofibroma dorsi management and outcomes: review of 16 cases. Interactive CardioVascular and Thoracic Surgery 18 (2014) 197–201
5. Hoffman, J.K; Klein, M.H; McInerney, V.K. Bilateral elastofibroma: a case report and review of the literature. Clin Orthop 1996; 325: 245-50.
6. Daigeler, A; Vogt, P. M; Busch, K; Pennekamp, W; Weyhe, D; Lehnhardt, M; Steinstraesser, L; Steinau, H.U; Kuhnen, C. Elastofibroma dorsi :differential diagnosis in chest wall tumours. World Journal of Surgical Oncology 2007; 5: 15.
7. Devaney, D; Livesley, P; Shaw, D. Elastofibroma dorsi: MRI diagnosis in a young girl. Pediatr Radiol. 1995; 25: 282-3.
8. Nielsen, T; Sneppen, O; Myhre-Jensen, O; Daugaard, S; Norbaek, J. Subscapular elastofibroma: a reactive pseudotumor. J Shoulder Elbow Surg. 1996; 5: 209-13.
9. Mortman, K.D; Hochheiser, G.M; Giblin, E.M; Matos, Y.M; Frankel, K.M. Elastofibroma dorsi: clinocopathological review of 6 cases. Ann Thorac Surg 2007; 83: 1894–7.
10. Fibla, J; Molins, L; Marco, V; Pérez, J; Vidal, G. Bilateral elastofibroma dorsi. Joint Bone Spine 2007; 74: 194–6.
11. Majo, J; Gracia, I; Doncel; A, Valera, M; Núñez, A; Guix, M. Elastofibroma dorsi as a cause of shoulder pain or snapping scapula. Clin Orthop Relat Res. 2001; 388: 200-4.
12. Zembsch, A; Schick, S; Trattnig, S; Walter, J; Amann, G; Ritschl, P. Elastofibroma dorsi. Study of two cases and magnetic resonance imaging findings. Clin Orthop. 1999; 364: 213-9.
13. Fukuda, Y; Miyake, H; Masuda, Y; Masugi, Y. Histogenesis of unique elastinophilic fibers of elastofibroma: ultrastructural and immunohistochemical studies. Hum Pathol. 1987; 18: 424-9.
14. Abe, S; Miyata, N; Yamamoto, Y; Yamaguchi, T; Tamakawa, M. Elastofibroma dorsi: CT, MRI, and pathologic findings. Plast Reconstr Surg. 1999; 104: 2121-6.
15. Nishio ,J; Isayama, T; Iwasaki, H; Naito, M. Elastofibroma dorsi; diagnostic and therapeutic algorithm. J Shoulder Elbow Surg 2012; 21: 77–81.
16. Samil Sarici, S; Basbay, E; Mustu, M; Eskut, B; Kala, F; Agcaoglu, O; Murat Akici, M; Ozkurt, E. Bilateral elastofibroma dorsi: A case report. Int J Surg Case Rep. 2014; 5(12): 1139–1141.
17. Majo, J; Gracia, I; Doncel, A; Valera, M; Núñez, A; Guix, M. Elastofibroma dorsi as a cause of shoulder pain or snapping scapula. Clin Orthop Relat Res 2001; 388: 200-4.
18. Zembsch, A; Schick, S; Trattnig, S; Walter, J; Amann, G; Ritschl, P. Elastofibroma dorsi. Study of two cases and magnetic resonance imaging findings. Clin Orthop. 1999; 364: 213-9.
19. Deutsch, G.P. Elastofibroma dorsalis treated by radiotherapy. Br J Radiol 1974, 47(561): 621-623.
20. Nagamine, N; Nohara, Y; Ito, E. Elastofibroma in Okinawa. A clinicopathologic study of 170 cases. Cancer. 1982; 50: 1794- 805