Neumonía en paciente de edad avanzada: presentación atípica
RESUMEN
La presentación atípica de las enfermedades es frecuente en los pacientes de edad avanzada. Los procesos frecuentemente se acompañan de deterioro en la capacidad funcional y una disminución del nivel de independencia para las actividades básicas diarias. La pérdida de la autonomía a veces puede acaparar toda la atención enmascarando otros síntomas.
AUTORES
Dra. Montejo Fernández, Mª Teresa. Médico especialista en Medicina Familiar y Comunitaria. Servicio Cántabro de Salud. Cantabria.
Dra. Salag Rubio, Lucía Pilar. Médico residente de Medicina Familiar y Comunitaria.
Servicio Cántabro de Salud. Cantabria.
Además la incidencia de la neumonía aumenta con la edad y contribuye a la morbilidad y mortalidad de los ancianos.
Palabras clave: Neumonía en el anciano. Neumonía adquirida en la comunidad. Tratamiento de la neumonía.
CASO CLÍNICO:
Mujer de 90 años de edad. Convive con un hijo. Vida limitada a su domicilio por presentar dificultad para la deambulación debido al déficit visual causado por cataratas bilaterales no operables. No toma medicación habitualmente.
Enfermedad actual: refiere, en las últimas dos semanas, un deterioro progresivo de su estado general consistente en cansancio y anorexia. Ha dejado de poder realizar las actividades básicas diarias. En los últimos cuatro días se añade picazón de garganta y tos seca motivo por el que avisa a su médico de familia.
En la anamnesis por aparatos refiere disnea a mínimos esfuerzos en la última semana que lo justifica por su edad avanzada.
A la exploración física se encuentra consciente y orientada, afebril, sequedad mucocutánea, eupneica, delgadez física. Bien perfundida. No artralgias. A la auscultación pulmonar: crepitantes en campo superior izquierdo y en campo inferior derecho. No roncus ni sibilancias. Se decide traslado a hospital para pruebas complementarias.
Analítica: Hemoglobina 13,20 g/dl, leucocitos en sangre 13.800, granulocitos 83.80%, plaquetas 194000. PCR 36. Resto normal.
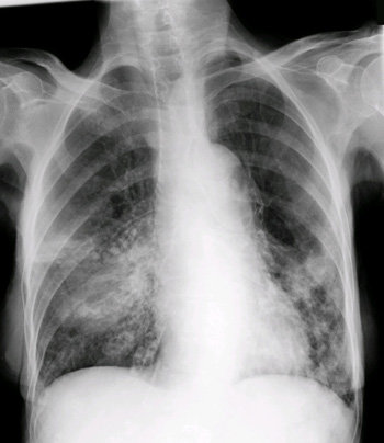
Rx tórax: condensaciones con patrón alveolar en lóbulo inferior izquierdo y en lóbulos medio e inferior derechos. ( Imagen 1)
Se realiza exploración oro-faríngea por especialista de otorrinolaringología para descartar disfagia que es normal.
Se diagnostica de neumonía bilateral adquirida en la comunidad por lo que se inicia tratamiento con amoxicilina asociado a ácido clavulánico: 2 gramos cada 12 horas durante 7 días con buena evolución. Precisó ingreso de dos semanas y seguimiento en el domicilio de forma periódica hasta recuperación de su estado basal.
DISCUSIÓN:
La presentación atípica de las enfermedades es frecuente en personas de edad avanzada. Esto es debido a que en estas edades existe una menor reserva fisiológica frente a la agresión. Esta situación clínica, que en geriatría se conoce como “fragilidad”, condiciona que procesos médicos intercurrentes puedan manifestarse principalmente como pérdida de su capacidad funcional.
A esto se añade que, ante un deterioro progresivo del estado físico y psíquico del paciente anciano, la familia y/o el médico minimicen en exceso el problema sanitario enfocándolo exclusivamente como un problema social.
En nuestro caso clínico una exploración física básica con una auscultación pulmonar alterada, en el domicilio nos indicó la necesidad de pruebas complementarias que incluyeran la Rx tórax (Imagen 1).
Incidencia:
La incidencia de la neumonía aumenta con la edad. Entre los 65-75 años la incidencia es aproximadamente de un 10/1.000 habitantes por año aumentando a 30/1000 habitantes por año en los mayores de 85 años. Además en aproximadamente un 75 % de los casos el paciente anciano acaba precisando el ingreso en el hospital debido a las co-morbilidades que presenta.
Clasificación:
Las sociedades americanas “American Thoracic Society” y la “Infectious Diseases Society of América” recomiendan la siguiente clasificación de neumonías:
- neumonía adquirida en la comunidad,
- neumonía nosocomial o de adquisición hospitalaria,
- neumonía en paciente inmunodeprimido,
- neumonía asociada a la ventilación,
- neumonía relacionada con la asistencia sanitaria o asociada a cuidados de salud: Afecta aquella población no hospitalizada pero en frecuente contacto con el sistema sanitario y con mayor riesgo de infección por gérmenes multirresistentes. Son pacientes de mayor edad, con más morbilidades, mayor riesgo de broncoaspiraciones y estancias hospitalarias más prolongadas. Estos pacientes A) han sido hospitalizados durante dos o más días en los 90 días previos, o B) son residentes en centros asistidos ( residencias), o C) en tratamiento ambulatorio endovenoso, con quimioterapia, hemodiálisis o curas de lesiones cutáneas en los últimos 30 días o D) son convivientes de portadores crónicos de patógenos resistentes.
Es importante estratificar la gravedad de la neumonía para la toma de decisiones clínicas y la valoración pronóstica. Es útil la utilización de índice CURB-65, que se basa en la valoración de 5 ítems disponibles fácilmente en la práctica clínica: confusión, urea, frecuencia respiratoria, tensión arterial y edad igual o mayor de 65 años. Existe una versión simplificada, el CRB-65, que no requiere determinación analítica por lo que se pude utilizar a nivel ambulatorio. Nos ayudará a tomar la decisión de tratamiento ambulatorio / hospitalización / ingreso en cuidados intensivos.
Además en los pacientes de edad avanzada deberá tenerse también en cuenta la seguridad del buen cumplimiento terapéutico, la correcta ingesta vía oral ó el apoyo social y el estado funcional de base.
Diagnóstico:
La radiografía de tórax (Rx tórax) sigue siendo la prueba “gold standard” para el diagnóstico de la neumonía. Es recomendable realizarla ante la sospecha clínica ya que permite confirmar el diagnóstico, detectar otras enfermedades ó complicaciones y ayuda en la valoración del pronóstico.
En los ancianos puede haber un 7% de falsos negativos en la radiografía inicial, especialmente si el paciente está deshidratado ó neutropénico.
En los pacientes encamados la sensibilidad para diagnosticar una neumonía es sólo de un 65%. En los casos de elevada sospecha y que interesa confirmar el diagnóstico se puede repetir la Rx tórax en 24-48 horas.
La resolución radiológica de la neumonía en los ancianos es lenta: a las 3 semanas sólo se produce en un 35 % de los casos y a los 3 meses sube a un 84%.
Etiología:
El diagnóstico etiológico de la neumonía en el anciano no se puede identificar en el 50% de los casos.
Los agentes etiológicos implicados son, por orden de frecuencia: primero el neumococo (50%), bacilos gram negativos (10%), Haemophilus influenzae (5%), Staphylococcus aureus (5%), gérmenes de la flora oral (2%), Legionella (3%) y demás gérmenes atípicos (9 %). El virus de la gripe y el virus respiratorio sincitial son otros agentes etiológicos relevantes, especialmente en los periodos de invierno.
El estudio etiológico se realizará, sobre todo, en el paciente atendido en el hospital, según la sospecha clínica y siempre que pueda alterar las decisiones a tomar, considerándose opcional en el resto de los casos.
Deberán tomarse 2 hemocultivos preferentemente antes de iniciar el antibiótico en pacientes con dolor pleurítico, neumonías graves y factores de riesgo de bacteriemia.
La detección de antigenuria de neumococo en el paciente ingresado con neumonía (con una sensibilidad del 88% y especificidad de 96%) es interesante para disminuir la utilización de antibioterapia de amplio espectro.
La realización de serologías respiratorias para gérmenes atípicos (Mycoplasma pneumoniae, Chamydophila spp, Coxiella burnetii, Legionella pneumophila y virus de gripe A, B, adenovirus y virus respiratorio sincitial) se deben pedir en neumonías graves sin diagnóstico, neumonías que no responden al tratamiento o situaciones de presencia de factores de riesgo epidemiológico.
Neumonía por aspiración:
En los pacientes de edad avanzada hay que descartar una disfagia oro-faríngea que favorezca una neumonía por aspiración. Si se explora de forma sistemática, se detecta disfagia en un 13% de los ancianos, en un 50% de los ingresados en una residencia, en más del 75% de los pacientes con ictus y en un 60-80% de los que padecen enfermedades neurodegenerativas.
Se han identificados varios factores independientes de riesgo de aspiración en ancianos frágiles que son:
La edad avanzada, el sexo masculino, las enfermedades respiratorias de base, la disfagia, la diabetes mellitus, la demencia grave, la delección del genotipo de enzima convertidor de la angiotensina I, una mala salud oral, la malnutrición, la enfermedad de Parkinson y el tratamiento con antipsicóticos e inhibidores de la bomba de protones.
En estos casos la neumonía por aspiración es más grave, presenta una mayor mortalidad precoz y una estancia hospitalaria más larga.
Tratamiento:
En un paciente con sospecha de neumonía debe iniciarse el tratamiento antibiótico empírico tan pronto como sea posible ya que se relaciona con un mejor pronóstico.
Sería recomendable que antes de iniciar el tratamiento se realizara la Rx tórax lo antes posible (en las primeras 4 horas) para la confirmación radiológica.
El tratamiento es similar en las neumonías hospitalarias y en las neumonías asociadas a cuidados de la salud debido a la necesidad de cubrir de forma empírica gérmenes multirresistentes.
Se deben utilizar un tratamiento antibiótico empírico de forma sistemática cubriendo la mayor parte de etiologías posibles y valorando siempre la situación del paciente: gravedad del proceso y patología subyacente del paciente: Amoxicilina ó amoxicilina-clavulánico / Moxifloxacino o levofloxacino / Cefditoren + macrólido (azitromicina ó claritromicina)/ Cefalosporina de tercera generación. Si riesgo de pseudomona se combinará piperacilina-tazobactam, cefepime, imipenem o meropenem con levofloxacino o ciprofloxacino.
En los pacientes que han recibido tratamiento antibiótico en los 3-6 meses previos debe plantearse la posibilidad de utilizar un antibiótico de clase diferente al usado previamente.
La aparición del tratamiento con fluoroquinolonas respiratorias (levofloxacino y moxifloxacino) han aportaron una buena actuación frente al neumococo, una cobertura muy amplia frente al resto de los patógenos respiratorios y sin diferencia de bioequivalencia entre la vía oral y la vía endovenosa. En general son bien toleradas aunque hay que vigilar en el electrocardiograma un alargamiento del intervalo QT, la hepatotoxicidad, el riesgo de delirium y de tendinitis y/o roturas tendinosas.
Duración del tratamiento:
Hay de individualizar la duración del tratamiento de las neumonías en pacientes de edad avanzada ya que suelen ser más graves, presentan más comorbilidades, y evolucionan más lentamente.
Las guías médicas recomiendan 7 días para las neumonías leves y 10 días para las neumonías que requieren ingreso. Se recomiendan tratamientos de 14 días si el tratamiento inicial no era activo frente al patógeno identificado posteriormente en pruebas complementarias, si la evolución no es favorable ó si es una neumonía cavitada ó por aspiración ó por Pseudomona aeruginosa, Legionella spp o S. aureus.
Es importante la hidratación y nutrición de estos pacientes y la utilización de oxigenoterapia y de corticoterapia para mejorar la insuficiencia respiratoria
También se intentará la movilización precoz de los pacientes (si es posible intentar que permanezcan sentados fuera de la cama unos 20 minutos cada día).
Por último vigilar en estos pacientes las posibles complicaciones cardiacas ya que pueden aparecer hasta en una tercera parte de los pacientes (sin antecedentes cardiacos). Normalmente aparecen en la primera semana del diagnóstico de neumonía, sobre todo en las primeras 24 horas.
Prevención:
En la población de edad avanzada es primordial la prevención: Se recomendará la vacunación antigripal anual y la antineumocócica en mayores de 60 años. De esta última existen estudios que confirman la eficacia y seguridad de revacunar a los ancianos cada 5 años.
Otras medidas preventivas son la abstención del tabaco, la correcta higiene oral (con pautas de cepillado de dientes y encías durante 2 minutos, 2 veces al día, con cepillado de lengua y posterior enjuague con clorhexidina al 0,12%).
La prevención de aspiraciones se realizará con medidas posturales durante la ingesta, vigilando la consistencia de la dieta y previniendo el reflujo gastroesofágico. Hay estudios que indican la necesidad de potenciar el reflejo deglutorio, por ejemplo con la comida a temperatura entre 30-40ºC ó la utilización de fármacos inhibidores de la enzima convertidora de angiotensina, capsaicina, mentol o incluso el vino tinto y el olor de pimienta negra).
IMÁGENES

BIBLIOGRAFÍA:
– American Thoraric Society Infectious: Diseases Society of America. Guidelines for the management of adults with hospital-acquired, ventilator-associated and healthcare-associated pneumonia. Am J Respir Crit Care Med. 2005;171:388-416.
– Cabré M, Serra-Prat M, Palomera E, Almirall J, Pallarés R, Clavé P. Prevalence and prognostic implications of dyphagia in elderly patients with pneumonia. AgeAgeing. 2010;39:39-45.
– LimWs, van der Eerden MM, Laing R, Boersma WG, Karalus N, Town GI; et al. Defining community acquired pneumonia severity on presentation to hospital: an international derivation and validation study. Thorax. 2003;58:377-82.
– Van der Maarel-Wierink CD, Vanobbergen JN, Bronkhorst EM, Schols JM, de Baat C Risk factors for aspiration pneumonia in frail older people: a systematic literatura review. J Am Med Dir Assoc. 2011;12:344-54.
– Pachón J. Falguera M, Gudiol F, Sabriá M, Alvarez-Lerma F, Cordero E. Protocolos de la SEIMC Infecciones en el tracto respiratorio inferior.
– Menéndez R, Torres A, Aspa J. Capelastegui A, Prat C, Rodríguez de Castro F. Neumonía adquirida en la comunidad. Nueva normativa de la sociedad española de neumología y cirugía torácica (SEPAR). Arch Bronconeumol. 2010;46:543-58.
– Pace CC, McCullough GH. The association between oral microorgansims and aspiration pneumonia in the institutionalized elderly: review and recommendations. Dysphagia. 2010;25:307-22.
– Guía de práctica clínica sobre la atención integral a las personas con enfermedad de Alzheimer y otras demencias. Ministerio de Sanidad. Política social e Igualdad.