Sistema nervioso central (SNC): sin alteraciones
= Se indican complementarios del tipo:
– Hemograma: Hemoglobina (hb): 151g/l
Hematocrito; 0,50 g/l
Leucocitos: 7x 10 9/l
– Coagulograma.
Tiempo de sangrado: Ts – 1 minuto
- Coágulo retráctil Tc- 5 minutos
- Conteo de plaquetas: 190×109/L
= Rx vistas PA de cráneo, Water, Lateral de cráneo, panorámicas de los maxilares.
Donde se observa imagen radiopaca irregular en hemicara izquierda que llega a alcanzar región nasal, reabsorción del seno maxilar y la mandíbula, respetando estructuras óseas del piso orbitario del mismo lado; también se observan varias imágenes compatibles con dientes retenidos (36, 37 y 38), debilitamiento del hueso mandibular a nivel de cuerpo y rama, con lateromentonismo izquierdo.
=U.S. Facial.
Se observa seno maxilar izquierdo ocupado con aumento de volumen de la hemicara izquierda con imagen de ecogenicidad variable hipoecogenicidad variable ecolucidez se sugiere TAC.
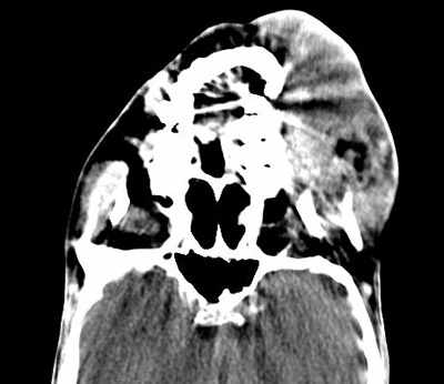
= Tomografía Axial Computarizada (TAC) del Macizo Facial. # 08-1451
En cortes craneales observamos imagen hipertensa de 34 mm en hemicara izquierda que mide 12×6 y se extienden hacia el paladar duro. No existe destrucción ósea, solo se observa deformidad de la arcada dentaria la cual aparece desplazada hacia la derecha, alcanzando fosa nasal de ese lado.
Senos maxilares normales, no invaden las órbitas.
= Tomografía Axial Computarizada (TAC) de Orbita. # 08-1515
Se observan grandes masas en región maseterina izquierda con destrucción parcial del maxilar superior izquierdo. El nervio óptico derecho ligeramente redundante. Nervio óptico izquierdo afinado sin signos de proceso tumoral infraorbitario.
Macizo Facial. # 08-1451 (ver figura 4)
Figura 4

= Valoración oftalmológica: En la lámpara.
Se observan Nódulos de Lisch en cara anterior del Iris, reflejos pupilares normales. Perdida de fibras nerviosas del ojo derecho y palidez temporal papilar.
= Neurofisiología: Potenciales Oftalmológicos.
- Se obtiene morfología atípica, déficit de refracción con dificultad en la visión para enfocar imágenes.
- Se obtiene latencia al menor estímulo, prolongada p- 100 con amplitud normal compatible con lesión en la vía visual por compresión a cualquier nivel.
= Biopsia: # 1147 realizada en el carrillo.
Diagnostico Anatomopatológico: Neurofibromatosis.
Microscópicamente predomina el colágeno de origen neural, acompañado de neuritis, las células recuerdan a los fibroblastos las cuales pueden llegar a una degeneración mixomatosa.
COMENTARIOS
Las manifestaciones de la neurofibromatosis tipo 1 pueden ser diversas como se ha informado previamente, así Rizze et al. (9) realizaron un estudio en 48 pacientes con neurofibromatosis tipo 1 en los que tras examinar las imágenes panorámicas y efectuar una exploración intrabucal detallada encontraron que en los 26 pacientes que tenían fibromas plexiformes había una alta prevalencia de alteraciones en la posición dentaria, así como malformaciones óseas craneofaciales. Las aberraciones numéricas y la retención de los terceros molares fueron exclusivamente asociadas con la afectación del nervio trigémino por el fibroma plexiforme. (6)
Las malformaciones faciales ocasionan una asimetría facial, lo cual fue comprobado en un estudio realizado por Steimberg et al. (3) en pacientes pediátricos.
Estos propios autores observaron que las manifestaciones en tejidos blandos se relacionaban con el Neurofibroma plexiforme, mientras que si la afectación es intraósea, se diagnosticaba como Neurofibroma solitario. (3)
No solo existe manifestación craneofacial en la neurofibromatosis tipo 1, sino que puede presentarse en otra parte del cuerpo, ocasionando una serie de complicaciones que puede comprometer él pronóstico de vida del paciente.
El ojo es uno de los órganos que más se ve comprometido por Gliomas que pueden progresar a la perdida de la visión y a otros síntomas neurológicos.
En un estudio realizado por King et al. (4), el 36% de los Gliomas del nervio óptico fue diagnosticado en niños de 6 años por lo que se recomienda que todos los niños de 10 años de edad o jóvenes con neurofibromatosis tipo 1 deban someterse anualmente a una revisión oftalmológica.
Muy asociados a los tumores del nervio óptico esta la pubertad precoz, que es otra de las complicaciones de la neurofibromatosis tipo 1. En el estudio de Verdes et al. (5) concluyeron que la mayoría de niñas de un total de 123 tuvieron menarquias mucho más temprano que sus madres y que la población general.
Además de la afectación del nervio óptico, en muchas ocasiones los pacientes desarrollan neoplasias en el sistema nervioso central (SNc) y sistema nervioso periférico (SNp) (4)
Los tumores comienzan en las células que componen la vaina de mielina, una fina membrana que envuelve y protege las fibras nerviosas, y a menudo se propagan a las áreas adyacentes. El tipo de tumor que se desarrolla depende de su ubicación en el cuerpo y del tipo de células implicadas. Los tumores más comunes son los neurofibromas, que se desarrollan en el tejido que circunda los nervios periféricos. La mayoría de los tumores no son cancerosos, aunque en ocasiones se vuelven cancerosos con el tiempo.
El fibroma plexiforme suele aparecer en pacientes con neurofibromatosis tipo 1 a nivel supraglótico, pero Ricardi (8) presentaron un caso con afectación laríngea. Pero no solo áreas próximas a la cara pueden verse afectadas, pues Lee (9) presentaron un caso de un paciente con neurofibromatosis tipo 1 y unos pequeños neurofibromas intestinales que le ocasionaban dolores agudos del abdomen. Un tercio de estos pacientes se ven afectados del intestino, pero solo el 5% desarrolla sintomatología. El 10% sufre transformación maligna.
Referencias Bibliográficas.
- Garcia GA, Tumores benignos de la cavidad bucal. Bascones A(ed) En: Tratado de odontología. Ed. Smetkline. Bescham. Madrid 2010; 3962.
- Droppier JC. Khosrotchrain K. Tellez J. Revuz J. Wolkenstein P.-Medical management of neurofibromatosis 1:Study of 383 patients.-J. Am. Acad. Dermatol 2009;55:440-4.
- National Institute of Health consensus development conference on neurofibromatosis. Arch of Neurology 2011; 658 575-8
- King A. Listernick R. CHarrow J. Piersall L. – Optic parthway glioma in neurofibromatosis type 1:the effect of bpresenting symptoms on outcome. Am. J. Med. Genet.,2011:23(3):289-93.
- Verdes R. Striet ME. Baudello MA. Trepodi C. Dorado A. Vinalli AR.- Growth and pubertal disorders in neurufibromatosis type 1.-J. Pediatr.. Endocrinol Metab., 2011,2383):289-92
- RAUSE ul.- Ketotifen and neurofibromatosis.-Arch. Dermatol., 2008;142:651-3.
- Moore BD., Slopis JM., Jackson EF., De Winter AE. Leeds NE. Brain volume in children with neurofibromatosis type 1. Neurology 2010; 64: 914-20
- Ricardi UM. – Controlled multihhase treal of ketotifen to minimize neurofibroma associated, pain and itching b,-Arch. Dermatol., 2010,146:577-81.
- Rizze M. Spanghers S. Fontana A. Obersner F. Ginanneschi V.-Von ricklin ghausens desease and intestinal neurofibromatosis: A case report.-CHir Ilal., 2011;63:261-65.
- L.- Radiografics features of the mandible in neurofibromatosis: a report of cases and revieuof the literature. Oral. Surg. Oral. Med. Oral. Pathol. 2010; 106 (3 ): 361-7