Colecciones extracraneales en pediatría: un reto diagnóstico
Las colecciones extracraneales son una patología relativamente frecuente en pediatría y clínicamente suelen presentarse como masas palpables pericraneales. Su origen puede ser congénito, traumático, cirugía o infecciones.
Autores:
Marta Monsalve Saiz. Pediatra del centro de salud de Cudeyo (Cantabria).
Irene Castro Ramos. Pediatra del centro de salud de Cudeyo (Cantabria).
Esther Rubín de la Vega. Pediatra del centro de salud de Rubayo (Cantabria).
Rocío Cuesta González. Facultativo especialista de área del Hospital Universitario Marqués de Valdecilla.
Ana Pastor Tudela: Médico interno residente de pediatría del Hospital Universitario Marqués de Valdecilla.
Palabras clave: lactante; colección subgaleal; pseudomeningocele.
Resumen:
Presentamos el caso de un lactante de 53 días con colección de líquido a nivel del vértex de varios días de evolución, que no respeta suturas, sin cambios cutáneos y que se desplaza con el movimiento cefálico. Se realiza ecografía cerebral que localiza el líquido a nivel subgaleal y se solicita analítica básica y estudio de coagulación que resultan normales. Se realiza drenaje de la colección, obteniéndose líquido serohemático con características de líquido cefalorraquídeo. Se completa estudio con TAC y RMN que descartan defectos óseos patológicos. Valorado por neurocirugía se decide colocación de capellina y actitud expectante con buena evolución posterior.
La importancia del diagnóstico adecuado de colecciones extracraneales en pediatría radica en la posible relación con situaciones relevantes, como alteraciones de la coagulación, fístulas de líquido cefalorraquídeo (LCR), seromas o incluso maltrato infantil, que requieren intervenciones específicas por parte del pediatra.
Los compartimentos anatómicos extracraneales están formados por capas de tejidos blandos que rodean externamente el cráneo, se distinguen 3 compartimentos de dentro hacia fuera que son: el espacio subperióstico, delimitado por la tabla externa del cráneo y el periostio; el espacio subgaleal, que es un espacio virtual ocupado por numerosas ramas de venas emisarias, delimitado por el periostio y la galea aponeurótica, que es una membrana fibrosa que recubre la bóveda craneal; y el espacio subcutáneo, formado por una capa de tejido adiposo entre la piel.
Las colecciones extracraneales pediátricas son una patología relativamente frecuente y se suelen presentar clínicamente como masas palpables pericraneales. Pueden deberse a causas congénitas, traumatismos, cirugía e infecciones. Para el diagnóstico diferencial debemos tener en cuenta la clínica, antecedentes obstétricos, edad del paciente y los hallazgos radiológicos. En concreto las colecciones subgaleales son un motivo de consulta poco frecuente en pediatría. Cuando aparecen en lactantes en su mayoría son hemáticas, en relación con partos distócicos, pero también pueden surgir de manera espontánea o ante traumatismos banales.
Presentamos el caso de un lactante varón de 53 días que consulta porque en los 2 días previos le notan tumoración a nivel del vértex que ha ido en aumento, no refieren traumatismos ni presenta otros síntomas ni lesiones acompañantes.
Antecedentes personales: recién nacido a término (41+1 semanas), peso adecuado a la edad gestacional (3920g), embarazo normal, ecografías prenatales normales, cesárea por desproporción pélvico-cefálica, periodo neonatal normal, alimentado con lactancia artificial, screening metabólico normal. Buena ganancia ponderal.
Exploración física: colección de líquido libre extracraneal en región parietooccipital, sin cambios en la coloración de la piel, de consistencia líquida que fluctúa con los movimientos, de aproximadamente 7 x 3 cm en decúbito supino a 45º. No a tensión, no respeta suturas. No crepitación a la palpación ósea (foto 1). Resto de exploración física normal.
Pruebas complementarias: hemograma, bioquímica y pruebas de coagulación normales. Ecografía de calota: aumento del espacio extracelular compatible con macrocefalia benigna del lactante. Colección de líquido subgaleal a nivel del vértex.
Se realiza drenaje de la colección mediante aguja fina subcutánea, extrayendo líquido serohemático que se analiza bioquímicamente con hallazgos poco concluyentes, por lo que se decide realización de análisis de beta-2-transferrina, sustancia específica del líquido cefalorraquídeo (LCR), siendo positivo.
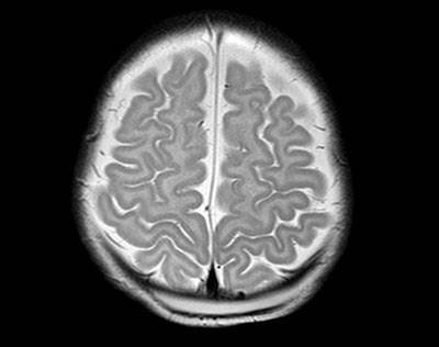
TAC y RMN cerebral: colección líquida subgaleal parietal medial que cruza suturas con igual señal al LCR en las diferentes secuencias. Mide aproximadamente 64mm x 30mm x 5mm. La colección es atravesada por un pequeño trayecto vascular venoso que corresponde con una vena emisaria que se extiende desde espacio subaracnoideo, atraviesa la calota y llega a vena superficial cerebral (trayecto vascular normal a ese nivel), pero no hay contenido hemorrágico en su interior. No se observan defectos óseos patológicos o fracturas de la calota craneal ni en el seno venoso (fotos 2 y 3).
Evolución: se realiza seguimiento por neurocirugía, se pautan masajes de cuero cabelludo y colocación de capellina (foto 4), que el niño no tolera adecuadamente, por lo que se decide retirar. Se mantiene al niño en posición vertical el mayor tiempo posible. Actualmente tiene 6 meses con un desarrollo psicomotor normal y presenta mejoría clínica con resolución casi completa de la colección.
La importancia del diagnóstico adecuado de colecciones extracraneales en pediatría radica en la posible relación con patologías relevantes, como alteraciones de coagulación, fístulas de líquido cefalorraquídeo (LCR), absceso subperiótico o incluso maltrato infantil, que requieren intervenciones específicas por parte del pediatra.
El pseudomeningocele es una colección subgaleal secundaria a extravasación de líquido cefalorraquídeo (LCR), causada por un defecto en la duramadre y aracnoides, que provoca una alteración en la circulación del líquido cefalorraquídeo (LCR). Normalmente es secundario a cirugía previa, se localiza adyacente al defecto óseo, aparece unos días posteriores a la cirugía y se reabsorbe en semanas o meses. En el caso de nuestro paciente no había antecedentes de cirugía ni traumatismos previos, y en las pruebas radiológicas no se ha evidenciado ningún defecto óseo que justifique la extravasación de líquido cefalorraquídeo (LCR).
Anexos:




Bibliografía:
-Colecciones extracraneales en pediatría. Póster no: S-1122 del congreso SERAM 2014.
-Carreño González, M.I. Martínez León, G. Quintana Sánchez, L. Renza Lozada;
-Santin-Amo, J.M. et al. Hematoma subgaleal crónico en un lactante: Presentación de un caso. Neurocirugía. 2011, vol.22, n.3
-Hematoma Subgaleal: Hallazgos en tomografía computarizada e IRM (Subgaleal Hematoma: CT and MRI Findings) by Luis Mazas Artasona. Febrero 2014.www.elbaulradiologico.com.