decide realizar una TC que visualiza engrosamiento de la pared de colon en ángulo hepático, con imágenes compatibles con divertículos en dicho punto e inflamación de la grasa pericolónica. La paciente es tratada de forma conservadora con antibioterapia intravenosa (imipenen) durante 5 días continuando la pauta antibiótica vía oral de forma ambulatoria con metronidazol y levofloxacino. Al mes y medio del proceso agudo inicial, la paciente acudió de nuevo al
Servicio de Urgencias por nuevo episodio de dolor abdominal, nauseas, fiebre y leucocitosis con desviación izquierda. Se realizó una nueva TC donde se visualizó diverticulitis sigmoidea, que de nuevo se trató de forma conservadora con el mismo antibiótico intravenoso. La paciente ha presentado otros dos episodios similares de diverticulitis sigmoidea sin aparecer de nuevo diverticulitis de ángulo hepático y se ha decidido tratamiento quirúrgico de su diverticulosis sigmoidea.
DISCUSIÓN
La diverticulitis derecha es una enfermedad poco frecuente en países occidentales, a diferencia de los orientales. Se caracteriza por la presencia generalmente de un divertículo único verdadero, al contrario que la diverticulitis de colon izquierdo donde suelen existir múltiples pseudodivertículos. La primera aparece de forma congénita no relacionándose con la edad, al contrario de la izquierda que resulta más frecuente a mayor edad del paciente. (2)
La presentación clínica es difícil de diferenciar de la de una apendicitis aguda, aunque pueden existir pequeños matices diferenciadores como la edad superior a la de la apendicitis y síntomas sistémicos menos comunes. En dos de nuestros casos, el diagnóstico diferencial principal fue de colecistitis, debido a la localización de los divertículos en ángulo hepático del colon, localización poco característica. El otro caso simulaba apendicitis aguda puesto que el dolor apareció en hemiabdomen derecho bajo. No se puede olvidar la posibilidad diagnóstica de neoplasia de colon ascendente en aquellos casos con aparición de una masa en hemiabdomen derecho, aunque la diverticulitis derecha suele tener una forma benigna de presentación y rara vez debuta con formación de abscesos y menos aún con perforación a cavidad peritoneal. (4, 5) Para su diagnóstico la TC es la prueba recomendada por su mayor sensibilidad y especificidad.
La resonancia magnética es útil especialmente en jóvenes y embarazadas, gracias al uso de radiaciones no ionizantes. (5) En todos nuestros casos se llevo a cabo con una TC y se confirmó posteriormente con una colonoscopia una vez pasado el episodio agudo.
En cuanto a las opciones terapéuticas existen varias posibilidades desde el tratamiento conservador al quirúrgico y dentro de éste desde diverticulectomía con o sin apendicetomía hasta hemicolectomía derecha de urgencia o programada posterior a un tratamiento conservador. Dicha elección quirúrgica dependerá, como en la diverticulitis izquierda, del estado del paciente y la forma de presentación. Generalmente gracias a la historia natural autolimitada de la enfermedad puede evitarse el tratamiento quirúrgico en la mayoría de los casos, siendo preferible el tratamiento médico incluso en los casos de recurrencia como ocurrió en dos de nuestros tres pacientes.
La hemicolectomía derecha está indicada exclusivamente cuando existen complicaciones o no remite con tratamiento conservador. Dentro de los casos con complicación merece mención especial la perforación de un divertículo único. En Oriente, al ser mucho más frecuente la patología benigna del colon derecho que la maligna, se puede ser menos agresivo en la cirugía realizando diverticulectomía, con o sin apendicetomía. En Occidente, aun en pacientes jóvenes y si existe duda acerca de la posibilidad neoplásica, el procedimiento correcto es una hemicolectomía derecha ya que la neoplasia de ciego o de colon ascendente es mucho más frecuente que la patología exclusivamente benigna. Existen autores que en lo referente a estos casos de divertículo único complicado que destacan el uso de cecoscopia en el diagnóstico intraoperatorio para visualizar la mucosa cecal para descartar neoplasia evitando así resecciones más ampliadas. (4, 6) En lo referente a nuestros casos, el tratamiento elegido fue conservador, manteniéndose asintomáticos durante el seguimiento. En el segundo paciente que presentaba una diverticulitis complicada no fue necesario el drenaje quirúrgico de las colecciones abdominales, y en ninguno de nuestros casos se ha planteado la necesidad de realizar una hemicolectomía, sólo en el último caso se ha planificado una sigmoidectomía en la paciente donde coexisten ambas diverticulosis.
En conclusión, la diverticulitis derecha en Occidente es un proceso totalmente diferenciado de la que ocurre en Oriente, semejándose en su presentación a la diverticulitis de colon izquierdo. En ambos medios es una enfermedad de buena evolución que se beneficia de un tratamiento médico conservador sin requerir un importante gasto médico-quirúrgico pero se requiere de comparaciones interhospitalarias para poder presentar experiencias como presentan en Oriente.
FIGURAS
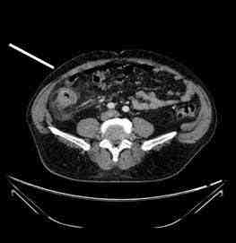
Figura 1: Imágenes radiológicas de la TC del paciente del CASO 1, donde se observan divertículos en colon ascendente cerca de ciego con inflamación de su pared y de la grasa adyacente. (Señalada con flecha blanca)

