Hepatitis autoinmune. A propósito de un caso
La hepatitis autoinmune (AIH) corresponde a una patología con presentación asintomática, generalmente progresiva, con fluctuación de su actividad, la autorreactividad aberrante tiene un papel primordial en su patogénesis.
Cristian Alfonso Galarza Sánchez *, Dra. Nuvia Eyleen Ludeña Misquero **“Christian Alejandro Espinoza Vinces***”, y “Karin Jeannette Espinoza Jumbo****
Hospital Regional Isidro Ayora Loja- Ecuador
* Médico Internista. Docente Investigador del Área de Medicina Humana de la Universidad Nacional de Loja. Diplomado en Diabetes.
** Especialista en Pediatría y en Neonatología.
*** Medicina General. Interno rotativo de Medicina Humana.
**** Medicina General. Interna rotativa de Medicina Humana.
Universidad Nacional de Loja. Ecuador
RESUMEN
El presente estudio demuestra el uso de criterios clínicos, bioquímicos e inmunológicos, factores genéticos y moleculares que forman parte de escalas clínicas modificadas utilizadas actualmente como parte del acertado diagnóstico de hepatopatías autoinmunes, aplicados en una paciente de 19 años tratada con inmunodepresores que constituyen la terapia convencional actualmente utilizada. Así se demostró la influencia de factores de riesgo, y características clínicas en el desarrollo de hepatitis autoinmune, además la importancia de un diagnóstico diferencial acertado, esencial en la terapéutica de esta patología crónica.
Lo importante de saber el manejo de esta enfermedad y de la frecuencia cuando no se piensa en estas patologías que aunque no lo crean son frecuentes y por lo que nos plateamos describir a través de un caso clínico y podemos concluir que el manejo con esteroides e inmunosupresores fue el mejor en beneficio de la paciente.
PALABRAS CLAVE: Hepatopatía, Hepatitis autoinmune (AIH).
INTRODUCCIÓN
La hepatitis autoinmune (AIH) es una hepatopatía inmune mediada caracteriza por la preponderancia femenina, transaminasas elevadas y los niveles de inmunoglobulina G, la seropositividad para anticuerpos, y la hepatitis de interfaz. La presentación es muy variable, por lo AIH deben ser considerados durante el estudio diagnóstico de cualquier aumento en los niveles de enzimas hepáticas. Superposición / formas variantes de la enfermedad, que presentaban signos concomitantes de la cirrosis biliar primaria o la colangitis esclerosante primaria se reconoce cada vez más. Todos los pacientes tenían niveles elevados de transaminasas y los niveles de gammaglobulina, con probadas cambios histológicos típicos para AIH, para llegar a un diagnostico concreto a los pacientes se somete a biopsia de hígado. Además se piden anticuerpos en Suero ANA / SMA / anticuerpos anti-LKM1 anticuerpos los cuales dependiendo del tipo de hepatitis autoinmune son positivos. Normalización completa y persistente o casi completa de actividad de las transaminasas se observa dentro primeros 6 a 12 meses. (Czaja, 2011)
La hepatitis autoinmune (HAI) fue descrita por primera vez en 1951 como una hepatitis crónica de las mujeres jóvenes con hipergammaglobulinemia en ausencia de cirrosis, que responde bien al tratamiento con corticotropina (ACTH). Poco después fue descrito en Estados Unidos (EEUU), como un síndrome caracterizado por asociación con anticuerpos antinucleares (ANA) fue descubierta y se creó el término «hepatitis lupoide”. Entre 1960 y 1980 varios ensayos prospectivos fueron publicados que demuestran los beneficios de los corticosteroides solos o en combinación con azatioprina en los casos graves de hepatitis autoinmune. (Dbouk & Parekh, 2013)
La etiología de la hepatitis autoinmune es desconocida, aunque los factores genéticos y ambientales son propensos a estar involucrados. Una respuesta inmune dirigido contra autoantígenos hepático se cree que inician y perpetúan el daño hepático. Varios factores genéticos interactúan para influir en la susceptibilidad a la AIH, manifestaciones clínicas, respuesta al tratamiento y el pronóstico en general. Las asociaciones genéticas más fuertes se encuentran dentro de los genes del antígeno leucocitario humano (HLA) en la región de complejo mayor de humano de histocompatibilidad, MHC, localizado en el brazo corto del cromosoma 6 – que están implicados en la presentación de péptidos antigénicos a las células T, y por lo tanto, están implicados en la iniciación de una respuesta inmune adaptativa, por tanto la susceptibilidad genética, mimetismo molecular y deterioro de las redes de inmunorreguladores pueden contribuir a la iniciación y perpetuación del ataque autoinmune. (Liberal, R., Longhi, MS, Mieli-Vergani, G., & Vergani, D, 2011).
La Hepatitis autoinmune es una enfermedad inflamatoria crónica del hígado que responde bien al tratamiento con prednisona sola o en combinación con azatioprina. La terapia de combinación se prefiere inicialmente debido a la tasa más baja de efectos adversos inducidos por los corticosteroides. Estos pacientes, y aquellos con insuficiencia hepática fulminante (encefalopatía grado II-IV) al momento del diagnóstico, necesitaran trasplante de hígado. (Vierling, J, 2011)
REPORTE DEL CASO.
Paciente de 19 años, que inicia con un cuadro de ictericia más malestar general, sin toma de ninguna medicación, sin antecedentes patológicos de importancia y sin consumo de alcohol, por lo que acude a esta casa de salud.
Examen físico:
Signos vitales:
- Tensión arterial: 90/50 mmHg,
- Frecuencia cardiaca: 70
- Frecuencia respiratoria: 16
- Saturación de oxigeno: 94 %
- Temperatura: 37°
Ojos: escleras ictericia grado IV/IV, piel y faneras ictericia grado IV/IV, abdomen hepatomegalia a 2 cm por debajo del reborde costal, resto de examen físico normal.
RESULTADOS
La paciente del presente estudio ingresó al servicio de clínica del Hospital General Isidro Ayora, inicialmente fue sometida a varios estudios de imagen y laboratorio, luego de realizar un análisis de características clínicas de la paciente, factores de riesgo, y resultados bioquímicos e histológicos, se realizó el diagnóstico diferencial y la sospecha diagnostica de hepatitis autoinmune.
El tratamiento hospitalario incluyó metilprednisolona por tres días, posteriormente al mejorar los valores de transaminasas se sugirió tratamiento ambulatorio con dosis de prednisona 60 mg por vía oral una vez al día, además azatioprina 50 mg vía oral cada día disminuyendo la dosis de prednisona 10 mg cada semana de acuerdo a protocolos internacionales (PubMed).
Al mes se evidenció en el control normalización de valores de las transaminasas, se determinó que la paciente se encontraba en remisión y así se completaron los criterios diagnósticos y se confirmó la enfermedad.
Exámenes de Laboratorio:
El perfil hepático de la paciente estaba alterado con niveles de Aspartato aminotransferasa de 279 UI/L, alanino aminotransferasa de 140 UI/L, 3.3 N igg: 1200, anticuerpos antinucleares: positivos 1/160 anticuerpos antimitocondriales: negativo, anticuerpos tipo 1 microsomales del hígado y riñón : negativo, fosfatasa alcalina: 120
Glóbulos Blancos: 2930
Hemoglobina: 12.5
Hematocrito: 39.7
Plaquetas: 340000
Neutrófilos: 1390
Linfocitos: 1.120
Hepatitis A-B-C: NEGATIVO.
Estudios de Imagen:

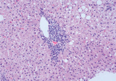
Figura 1. Histología hepática: infiltrado linfoplasmocitario en moderada cantidad algunos eosinófilos y escasos polimorfonucleares. Hepatocitos muestran áreas de edema sinusoidal que separan las trabéculas de las células hepáticas. En áreas centrolobulillares se aprecia infiltrado linfoplasmocitario en poca cantidad, el tejido hepático se dispone en estructuras pseudonodulares.
Ultrasonido de partes blandas: presencia de imagen de aspecto heterogéneo que protruye por las fascias de pared anterior en región umbilical, la misma que provoca anillo de aproximadamente 3cm. La imagen en mención se relaciona con asa intestinal que se presenta con su pared engrosada y aumento de la vascularización a este nivel. Los hallazgos observados se relacionan con herniación.
Fondo de ojo: normal.
DISCUSIÓN:
Los rasgos clínicos, bioquímicos y serológicos de la paciente son consistentes con una presentación aguda de la hepatitis autoinmune, un trastorno de causa desconocida que se caracteriza por la inflamación del hígado, hipergammaglobulinemia y la presencia de anticuerpos.
El inicio es a menudo insidioso, con fatiga e hiperbilirrubinemia, o una presentación fulminante que imita la hepatitis viral aguda, correspondiéndose al caso de la paciente.
El diagnóstico requiere que otras enfermedades crónicas del hígado con características similares puede descartarse. Estos incluyen la hepatitis crónica viral, enfermedad hepática inducida por drogas, enfermedad del hígado graso no alcohólico, la enfermedad de Wilson, cirrosis biliar primaria y colangitis esclerosante primaria. Un jurado internacional ha codificado los criterios diagnósticos, y un sistema de puntuación para la realización del diagnóstico se ha desarrollado que se basa en cuatro componentes: el nivel de IgG en suero, la presencia y el nivel de anticuerpos, la ausencia de marcadores virales e histológicos características en la biopsia hepática. Simplificado sistema de puntuación para el diagnóstico de hepatitis autoinmune. La hepatitis autoinmune se clasifica como de tipo 1 o tipo 2 y 3, sobre la base de anticuerpos característicos. (PERSON, 2003)
En los Estados Unidos, el 11 al 23% de los casos de enfermedad hepática crónica son atribuibles a hepatitis autoinmune. En general, se ha informado que el embarazo puede mejorar el pronóstico de la hepatitis autoinmune, presumiblemente debido a los aumentos en los niveles de estrógeno y un cambio resultante de una citoquina de tipo 1 a un de tipo 2 de células T antiinflamatorias.
El procedimiento de diagnóstico en este caso fue la biopsia hepática. El hallazgo de rasgos histológicos característicos, incluyendo la hepatitis interfaz, sugieren un diagnóstico probable de la hepatitis autoinmune, y el diagnóstico se considera definitivo si hay la presencia de anticuerpos característicos en el suero. Las pruebas de los niveles de cobre tejidos también se realizan para descartar la enfermedad de Wilson. Una respuesta a la terapia inmunosupresora sería proporcionar una confirmación adicional de la diagnostico y un beneficio terapéutico.
La biopsia de hígado muestra hepatitis panlobular, con inflamación, hepatocitos necróticos, y desorden de las placas hepáticas que implican todo el lóbulo, del espacio porta a la vena central. La colestasis se observó en los lobulillos, mientras que los racimos de células plasmáticas se observaron en las zonas portales. Una coloración con ácido peryódico de Schiff mancha de la digestión con diastasa revela numerosos macrófagos cargados de ceroide en la zona centrolobulillar, son indicativos de lesión lobulillar y necrosis de hepatocitos. Los resultados de la biopsia son diagnósticos de hepatitis panlobular severa, con características que sugieren una presentación aguda de hepatitis autoinmune, aunque otras causas de hepatitis aguda, hepatitis viral en particular debido a la hepatitis A no se puede descartar, pero en este caso con todos los exámenes solicitados los descartamos con facilidad. (ALKHALIDI JA, 2001)
Estudios de la histología del hígado en pacientes que tienen una presentación aguda de la hepatitis autoinmune han demostrado que estos pacientes tienen a menudo inflamación lobulillar superpuesta en el espacio portal y periportal, además la hepatitis y con frecuencia la fibrosis en puente o incluso cirrosis son características que sugieren que la presentación aguda representa una presentación de la forma subclínica de enfermedad crónica.
Después de la biopsia, la paciente fue ingresada en el servicio médico, los resultados de la biopsia de hígado se informaron en el hospital y las pruebas adicionales ordenados en la admisión, resultaron negativas para el ARN del VHC y positivo para ANA (1/160), la negatividad para anticuerpo antimúsculo liso, riñón e hígado, los niveles IgG sérica elevados, la persistencia de elevación de la aspartato aminotransferasa (279 UI/L), alanina aminotransferasa (140 UI/L) confirmaron el diagnostico establecido. Se inició el tratamiento con prednisona y azatioprina, aproximadamente 6 meses después del diagnóstico, la paciente acudió a su control establecido y los valores de aminotransferasa se encontraban normales.
CONCLUSIÓN
- La importancia de realizar un adecuado diagnóstico diferencial en el manejo de la amplia gama de patologías digestivas en este caso hepatopatías, es esencial considerando el uso apropiado de criterios clínicos, que permiten llegar al diagnóstico y manejo apropiado, que constituyen el eslabón esencial en el tratamiento de patologías autoinmunes.
CONFLICTO DE INTERESES
Los autores declaran que no existe conflicto de intereses.
AGRADECIMIENTO
En primer lugar a la paciente que me permitió llegar a tratarla, En segundo lugar a mi familia que siempre ha estado a mi lado. Y por último a DIOS, que me oriento a esta sospecha diagnostica.
BIBLIOGRAFÍA:
(2016). Journal-of-hepatology.eu. Retrieved 14 November 2016, from http://www.journal-of-hepatology.eu/article/S0168-8278 (15)00165-8/fulltext
Czaja, A. (2011). Autoimmune hepatitis in special patient populations. Best Practice & Research Clinical Gastroenterology, 25(6), 689-700. http://dx.doi.org/10.1016/j.bpg.2011.09.011
Danielsson A, P. H. (2000). Oral budesonide for treatment of autoimmune chronic active hepatitis. . Aliment Pharmacol Ther, 85-90.
Dbouk, N. & Parekh, S. (2013). Impact of pretransplant antinuclear antibody and antismooth muscle antibody titers on disease recurrence and graft survival following liver transplantation in autoimmune hepatitis patients. Journal Of Gastroenterology And Hepatology, 28(3), 537-542. http://dx.doi.org/10.1111/j.1440-1746.2012.07125.x
Dowis PA, L. P. (2005). M4 and M9 antibodies in the overlap syndrome of primary biliary cirrhosis and chronic active hepatitis: epitopes or epiphenomenon. Hepatology, 6:1128-36.
Efe, C., Ozaslan, E., Purnak, T., Ozseker, B., Kav, T., & Bayraktar, Y. (2012). Liver biopsy is a superior diagnostic method in some patients showing the typical laboratory features of autoimmune hepatitis. Clinics And Research In Hepatology And Gastroenterology, 36(2), 185-188. http://dx.doi.org/10.1016/j.clinre.2011.08.011
EL., K. (2000). Autoimmune hepatitis: classification, heterogeneity and treatment. EEUU: Americana.
Gatselis, N., Zachou, K., Papamichalis, P., Koukoulis, G., Gabeta, S., Dalekos, G., & Rigopoulou, E. (2010). Comparison of simplified score with the revised original score for the diagnosis of autoimmune hepatitis: A new or a complementary diagnostic score?. Digestive And Liver Disease, 42(11), 807-812. http://dx.doi.org/10.1016/j.dld.2010.03.005
Karkhanis, J., Verna, E., Chang, M., Stravitz, R., Schilsky, M., Lee, W., & Brown, R. (2013). Steroid use in acute liver failure. Hepatology, 59(2), 612-621. http://dx.doi.org/10.1002/hep.26678
Liberal, R., Longhi, MS, Mieli-Vergani, G., y Vergani, D. (2011). Patogénesis de la hepatitis autoinmune. Mejor Pract Res Clin Gastroenterol, 25 : 653-664
Lohse, A. & Mieli-Vergani, G. (2011). Autoimmune hepatitis. Journal Of Hepatology, 55(1), 171-182. http://dx.doi.org/10.1016/j.jhep.2010.12.012
Manday (ALKHALIDI JA, 2001) (PA, 2005) (MANDAY, 2001)an S, J. M. (2004). Epidemiology of alcoholic liver disease. Semin Liver Dis. EEUU: Americana.
Manns, M., Czaja, A., Gorham, J., Krawitt, E., Mieli-Vergani, G., Vergani, D., & Vierling, J. (2010). Diagnosis and management of autoimmune hepatitis. Hepatology, 51(6), 2193-2213. http://dx.doi.org/10.1002/hep.23584
Muñoz Espinosa LE, A. M. (2004). Diagnóstico etiológico de las enfermedades autoinmunes. . Guadalajara: Cuéllar.
Ngu, J., Gearry, R., Frampton, C., & Stedman, C. (2013). Predictors of poor outcome in patients w ith autoimmune hepatitis: A population-based study. Hepatology, 57(6), 2399-2406. http://dx.doi.org/10.1002/hep.26290
NH, A. (2004). The natural history of hepatitis C. Semin Liver Dis. EEUU.
Person JL, M. H. (2003). A case of cyclosporine sensitive, steroid-resistant, autoimmune chronic active hepatitis. . J Clin Gastroenterol , 1-6.
Schaefer, E. & Pratt, D. (2012). Autoimmune hepatitis. Current Opinion In Rheumatology, 24(1), 84-89. http://dx.doi.org/10.1097/bor.0b013e32834de5d9
Shah AM, Malhotra A, Kothari S, Baddoura W, Depasquale J, Spira R. (2011). Reversal of liver cirrhosis in autoimmune hepatitis. Hepatogastroenterology 58(112), 2115-7.
Vierling, J. (2011). Diagnosis and Treatment of Autoimmune Hepatitis. Current Gastroenterology Reports, 14(1), 25-36. http://dx.doi.org/10.1007/s11894-011-0236-2
Yeoman, A., Westbrook, R., Al-Chalabi, T., Carey, I., Heaton, N., Portmann, B., & Heneghan, M. (2009). Diagnostic value and utility of the simplified International Autoimmune Hepatitis Group (IAIHG) criteria in acute and chronic liver disease. Hepatology, 50(2), 538-545. http://dx.doi.org/10.1002/hep.23042