DISCUSIÓN
La compresión medular constituye la complicación neurológica más frecuente en oncología, sólo superada por las metástasis cerebrales. Se presenta hasta en un 5% de los pacientes oncológicos adultos y puede ser la manifestación inicial de un tumor no conocido, como el reflejado en el caso. El diagnóstico y tratamiento debe ser realizado de la forma más rápida posible, puesto que el estatus neurológico previo al inicio del tratamiento es el principal factor pronóstico. La pérdida de deambulación y la incontinencia de esfínteres antes del tratamiento se asocian con un mal pronóstico (3).
Cualquier tumor puede ocasionar compresión medular, pero son los tumores de próstata, mama y pulmón los más frecuentes. La localización más frecuente es la dorsal, aproximadamente el 60-70% de los casos, seguida de la lumbosacra, y con menos frecuencia, de la médula cervical. Destaca que muchos pacientes pueden presentar compresión en más de un nivel, como el caso anterior (3).
El dolor es el síntoma inicial más frecuente y está presente en hasta el 70-90% de los pacientes, siendo la debilidad de extremidades el motivo de consulta urgente. También pueden aparecer síntomas sensitivos (parestesias e hipostesias), mientras que la pérdida de control de esfínteres suele ser tardía, y en general, asociarse a un mal pronóstico (3).
Por lo que ante todo paciente oncológico hay que mantener un alto índice de sospecha ante el dolor de espalda. En el diagnóstico, a parte de una buena anamnesis, exploración física y neurológica, la RM es el procedimiento de elección y debe realizarse con la menor demora posible (4). El tratamiento incluye medidas iniciales (corticoterapia, control del dolor, anticoagulación, prevención del estreñimiento y evitar maniobras desencadenen dolor), y en función de varios factores como: edad, comorbilidad, ECOG, tumor y estadio: se puede tratar con radioterapia, quimioterapia o cirugía. El pronóstico viene determinado por el estado neurológico antes del tratamiento, la localización del primario y número de cuerpos vertebrales afectos (5,6).
El caso destaca porque en la literatura, se han descrito hasta el momento cánceres de colon asociados, a compresión medular, pero eran pacientes en los que ya se conocía el diagnóstico de cáncer de colon sin embargo, en este caso es el debut de compresión medular el que nos llevó al diagnóstico de neoplasia de colon.
IMÁGENES

Imagen 1: Compresión medular con aplastamiento de D3 y masa de partes blandas asociada.

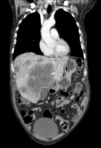
Imagen 2: Hígado con múltiples metástasis hepáticas y lesión estenosante de sigma.
BIBLIOGRAFÍA
- Mc Fadden DW, Zinner MI. Manifestation of gastrointestinal disease. In: Schwartz Sled. Principles of surgery. New York, Mc Graw-Hill (1994).
- Robert F. McLain, Maurie Markman, Ronald M. Bukowski.Spinal metastases from solid tumors. Analysis of factors affecting survival. Cancer. 1995 Oct 15; 76(8):1453-9.
- Castañón López, P. Linares Torres*, P. Zamora Auñón, E. Espinosa Arranz, M. González Barón, S. Juárez Alonso. El síndrome de compresión medular en el paciente oncológico que acude a urgencias. Emergencias. Vol.9, Núm.6, Noviembre-Diciembre 1997.
- Fredericks RK, Elster A, Walker FO. Gadolinium-enhanced MRI: a superior technique for the diagnosis for intraspinal metastases. Neurology 1989; 39: 734-736.
- Ratanatharathorn V, Powers WE. Epidural spinal cord compression from metastatic tumor: diagnosis and guidelines for management. Cancer Treatment Reviews 1991; 18: 55-71.
- Domínguez Fernández S, López Martín JA, Rodríguez Lescure. A. Compresión medular. Diagnóstico y tratamiento. Rev Cancer 1992; 6: 95-100.