rara, es una causa de dolor abdominal que lleva a complicaciones quirúrgicas, por lo que es menester tenerla siempre en mente ante todo drama abdominal, pues su tratamiento adecuado puede salvar una vida.
Imagen 1. Intensa infiltración de la capa muscular por eosinófilos.

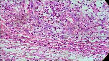
Imagen 2. Numerosos eosinófilos en subserosa.

Imagen 3. Destrucción de la capa muscular por infiltrado eosinófilo.

Referencias bibliográficas.
1. Arredondo B A, Ávila A D, Reyes O R, Amores C J. Enteritis eosinofílica primaria: a propósito de un caso. AMC [Internet]. 2009 Jun [citado 2013 Abr 04]; 13(3). Disponible en: http://scielo.sld.cu/scielo. php?script=sci_arttext&pid=S 1025-0255200 9000300 017&lng=es.
2. Tien FM, Wu JF, Jeng YM, Hsu HY, Ni YH, Chang MH, et al. Clinical features and treatment responses of children with eosinophilic gastroenteritis. Pediatr Neonatol. Oct 2011;52(5):272-8.
3. Sumathi B; Nirmala D; Raju BB; Rajalakshmi V. Eosinophilic enteritis–a rare case of chronic diarrhoea in a child. Trop Gastroenterol. 2010; 31(3):221-3
4. Sihvo HK; Simola OT; Vainionpää MH; Syrjä PE. Pathology in practice. Severe chronic multifocal intramural fibrosing and eosinophilic enteritis, with occasional intralesional bacteria, consistent with feline gastrointestinal eosinophilic sclerosing fibroplasia. (FIESF). J Am Vet Med Assoc. 2011; 238(5):585-7
5. Hurrell JM; Genta RM; Melton SD. Histopathologic diagnosis of eosinophilic conditions in the gastrointestinal tract. Adv Anat Pathol. 2011; 18(5):335-48
6. Aslanidis S; Pyrpasopoulou A; Soufleris K; Kazantzidou E; Douma S. Eosinophilic enteritis with ascites in a patient with overlap syndrome.
Case Rep Med. 2009; 2009:734206.
7. Yoda A; Takeshima F; Kadota K; Inoue K; Nakamichi S; Hayashi et al. Eosinophilic enteritis: efficiency of the 13C-acetate breath test for assessing the disease activity. Intern Med. 2012; 51(18):2551-4
8. Chaturvedi R; Acharya S; Gupte PA; Joshi AS. Coexistent primary eosinophilic enteritis and enteritis cystica profunda.
J Postgrad Med. 2012; 58(4):304-6
9. Endo H; Hosono K; Inamori M; Kato S; Uchiyama T; Iida H et al. Capsule endoscopic evaluation of eosinophilic enteritis before and after treatment. Digestion. 2011; 83(1-2):134-5
10. Blanchard C, Wang N, Rothenberg ME. Eosinophilic esophagitis: pathogenesis, genetics, and therapy. J Allergy Clin Immunol. Nov 2006;118(5):1054-9.
11. De Angelis P, Morino G, Pane A, et al. Eosinophilic esophagitis: management and pharmacotherapy. Expert Opin Pharmacother. Apr 2008;9(5):731-40.