Figura 1. Saco Herniario donde se observa el nódulo color amarillo del tejido adrenal ectópico.

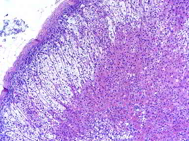
Figura 2 y 3: Cortes Histológicos de H y E. Muestra tejido adrenal organizado detectado en el nódulo resecado del saco herniario.


BIBLIOGRAFÍA.
1- Ezzedien M et al. Adrenal rests associated with ectopic testis in an adult: Clinical significance. Urol Ann. 2013 Oct-Dec; 5(4): 302–304. doi: 10.4103/0974-7796.120307.
2- Niveditha S. R, Manjula C. P, Sudarshan Babu K. G. Accessory Adrenal Cortical Tissue: An Incidental Finding in Hernial Sac. Journal of Evidence Based Medicine and Healthcare. May 2014; Volume 1, Issue 3: 157-159.
3- El Demellawy D, Nasr A, Samkari A, Pastolero P, Alowami S. Aberrant adrenocortical tissue in hernia sac occurring in an adult: case report and review of the literature. Hernia. 2009 Dec;13(6):659-662. doi: 10.1007/s10029-009-0501-6.[PubMed]
4- Michowitz M, Schujman E, Solowiejczyk M. Aberrant adrenal tissue in the wall of a hernial sac. Am Surg. 1979 Jan;45(1):67-9.
5- Rabie ME1, Shah MT, Jamil S, Al-Shraim MM. Adrenal rests associated with ectopic testis in an adult: Clinical significance. Urol Ann. 2013 Oct;5(4):302-4. doi: 10.4103/0974-7796.120307.
6- Sakuma T1, Maurin C, Shimizu D, Shinohara S. Cryptorchidism associated with ectopic adrenal cortical tissue in the spermatic cord in a 51-year-old male. Prog Urol. 2012 Dec;22(16):1039-42. doi: 10.1016/j.purol.2012.09.011. Epub 2012 Oct 18.
7- Oguzkurt P, Öz S, Kayaselcuk F. Ectopic adrenal tissue: an incidental finding during inguinoscrotal operations in children. Hernia 2002; 6: 62–63.
- Ketata S, Ketata H, Sahnoun A, FakhFakh H, Bahloul A, Mhiri MN. Ectopic adrenal cortex tissue: An incidental finding during inguinoscrotal operations in pediatric patients. Urol Int. 2008;81:316–9. [PubMed]
9- Ventura L1, Leocata P, Hind A, Greco I, Ventura T. Ectopic adrenal tissue in the spermatic cord. Case report and review of the literature. Arch Ital Urol Androl. 1998 Feb;70(1):15-8.
10- Çakir ED1, Mutlu FS, Eren E, Paşa AO, Sağlam H, Tarim OJ. Testicular adrenal rest tumors in patients with congenital adrenal hyperplasia. Clin Res Pediatr Endocrinol. 2012 Jun;4(2):94-100. doi: 10.4274/jcrpe.563.
- Mendez R, Tellado MG, Somoza I, Liras J, Sanchez-Abuin A, Pais E, et al. Ectopic adrenal tissue in the spermatic cord in pediatric patients: Surgical implications. Int Braz J Urol. 2006;32:202–7. [PubMed]
12- Takeuchi, M, Okuya, K, Kato, RI, Miyao N Konishi Y. Aberrant Adrenocortical Tissue Associated with Resected Lipoma of Spermatic Cord in an Adult. Open Journal of Urology 2014; 4:151-154. http://dx.doi.org/10.4236/oju.2014.412026.
13- OĞUZ F et al, Evaluation of children with inguinoscrotal ectopic adrenal tissues.Turk J Med Sci. 2013; 43: 553-556 © TÜBİTAK. doi:10.3906/sag-1206-25
14- Thulasi Raman R et al. Adrenal Cortex Heterotopia in an Undescended Testis. Journal of Clinical and Diagnostic Research. 2014 Sep; Vol-8(9): FD11-FD12, www.jcdr.net.
15- Claahsen-van der Grinten HL1, Otten BJ, Takahashi S, Meuleman EJ, Hulsbergen-van de Kaa C, Sweep FC, Hermus AR. Testicular adrenal rest tumors in adult males with congenital adrenal hyperplasia: evaluation of pituitary-gonadal function before and after successful testis-sparing surgery in eight patients. J Clin Endocrinol Metab. 2007 Feb;92(2):612-5. Epub 2006 Nov 7.
16- Angulo E et al. Restos de Tejido Adrenal Testicular en la HSC; hallazgos en Ecografía y Resonancia Magnética. Arch. Esp. Urol. 2007; 60 (2): 190-192.
17- Budzyńska E1, Beń-Skowronek I. Testicular adrenal rest tumours in boys with congenital adrenal hyperplasia: case report and literature review. Pediatr Endocrinol Diabetes Metab. 2011;17(4):239-42.
18- Iyengar V Pittman DM; Ectopic adrenal gland tissue in inguinal hernia sac. Ann of Diagn Pathol (Impact Factor: 1.11). 09/2007; 11(4):291-2. DOI: 10.1016/j.anndiagpath.2006.08.001 Source: PubMed.