Gangrena gaseosa en el postoperatorio
Gas Gangrene in the postoperative period
Elena Velasco López. Residente de Medicina Intensiva. Hospital Clínico San Carlos de Madrid. España.
Montserrat Rodríguez Gómez. Residente de Medicina Intensiva. Hospital Clínico San Carlos de Madrid. España.
Centro de trabajo: Servicio de Medicina Intensiva. Hospital Clínico San Carlos de Madrid. España.
Resumen:
Presentamos un caso clínico de gangrena gaseosa en el postoperatorio de una amputación de miembro inferior, en el que una radiografía simple determinó la sospecha diagnóstica que posteriormente se confirmó por otras pruebas radiológicas y microbiológicas.
Abstract: we present a case of gas gangrene in the postoperative period of an amputation of a lower limb, in which a simple x-ray determined the suspected diagnosis, that was later confirmed by other radiological and microbiological tests.
Palabras clave: gangrena gaseosa, radiografía simple
Key words: gas gangrene, simple X-ray
Caso clínico:
Paciente de 70 años con antecedentes personales de diabetes Mellitus tipo II en tratamiento con Insulina, fumador importante desde la juventud e hipertensión arterial, que es sometido a amputación de miembro inferior izquierdo a la altura del fémur por isquemia refractaria a tratamiento conservador secundaria a vasculopatía severa.
El postoperatorio inmediato transcurre sin incidencias en la unidad de hospitalización de Cirugía Vascular, habiéndose realizado profilaxis antibiótica con Cefazolina y Gentamicina según el protocolo habitual de nuestro Centro. Ingresa en la Unidad de Cuidados Intensivos a los 3 días de la intervención por Shock Séptico con fracaso multiorgánico.
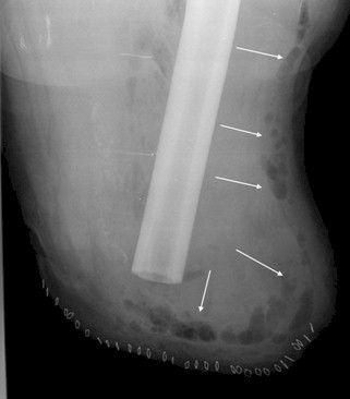
Aunque inicialmente se sospechó un foco urinario como causante del cuadro tras el hallazgo de piuria y bacteriuria en un sedimento de orina, en la exploración destacaba crepitación a nivel del muñón quirúrgico. Se solicitó entonces una radiografía simple del mismo donde se observó existencia de gas en partes blandas (imagen 1: flechas) lo que se confirma en una Tomografía Computerizada (TAC), donde se observa afectación de toda la musculatura del miembro inferior izquierdo hasta la raíz del muslo con gas en su interior (imagen 2: flechas). Se instauró tratamiento antibiótico de amplio espectro que incluía Penicilina G y Clindamicina, y tratamiento del Shock Séptico según los criterios de la Conferencia Consenso de la Sepsis Surviving Campaign (1).
Además, el paciente fue sometido a revisión quirúrgica con limpieza de la zona, incluyendo desbridamiento de tejidos afectados. A los 3 días se informa del crecimiento en cultivo del exudado del muñón de Clostridium perfringens confirmándose el diagnóstico de gangrena gaseosa. La evolución posterior fue aceptable, desapareciendo los signos de respuesta inflamatoria sistémica y retirándose el soporte vasoactivo y la ventilación mecánica con buena tolerancia, lo que permitió el traslado a planta de hospitalización convencional para continuar la evolución que fue satisfactoria.
Figura 1
Figura 2
Discusión:
Este caso ilustra cómo, en ocasiones, con una sospecha clínica y una prueba simpe y barata, es posible adelantar un diagnóstico, lo que permite instaurar de forma precoz un tratamiento adecuado a la espera de la confirmación diagnóstica. Este hecho cobra especial importancia en el caso de cuadros infecciosos en los que la precocidad del tratamiento influye de forma clara en la evolución (2).
En nuestro caso, el diagnóstico inicial realizado por sus médicos y que requirió ingreso en UCI fue de Shock Séptico de foco urinario en paciente con antecedentes de sondaje vesical. Sin embargo, el hallazgo exploratorio de crepitación a la palpación en el muñón quirúrgico motivó la búsqueda de otra etiología como causante del cuadro infeccioso. Si bien en un principio se planteó la realización de una exploración quirúrgica como prueba complementaria inicial, se decidió realizar una radiografía simple, dada el bajo coste que conlleva y la disponibilidad y rapidez de su realización que no retrasa la intervención quirúrgica (3). Tras el hallazgo de gas en partes blandas y ante la sospecha de gangrena gaseosa se instauró tratamiento antibiótico específico, realizándose entonces una TAC del muñón quirúrgico que confirmó y delimitó los hallazgos radiológicos.
En resumen, sirva este caso para ilustrar como con un alto índice de sospecha por parte del clínico, es posible, en determinadas patologías hacer un diagnóstico de una forma sencilla, rápida y barata sin tener que recurrir a pruebas complementarias costosas y que además requieren infraestructura, tiempo y colaboración por numerosos especialistas lo que podría ocasionar pérdida de tiempo en instaurar el tratamiento definitivo, hecho que en el caso que nos ocupa es fundamental (4).
Bibliografía:
1.- Dellinger RP, Levy MM, Carlet JM et al. Surviving Sepsis Campaign: International guidelines for the management of severe sepsis and septic shock. Crit Care Med 2008; 36 (1): 296-327
2.- Chipp E, Phillips C, Rubin P. Succesful manegement of spontaneous Clostridium septicum myonecrosis. J Plast Reconstr Aesthet Surg. 2009. 62 (10): e391 – e393
3.- Lu J, Wu XT, Kong XF, Tang WH, Cheng JM, Wang HL, Gas gangrene without wound: both lower extremities affected simuktaneously. Am J Emerg Med. 2008 Oct; 26 (8): 970
4.- Miranda C, Rojo MD. Clostridium perfringes: piel y tejidos blandos. Revisión temática de la Sociedad española de enfermedades infecciosas y Microbiología Clínica.
http://www.seimc.org/control/revisiones/bacteriología/Clostper.pdf

